Explore ideas, tips guide and info Matilda Iverson
Can You Get Mri With Dental Implants
Can You Get Mri With Dental Implants
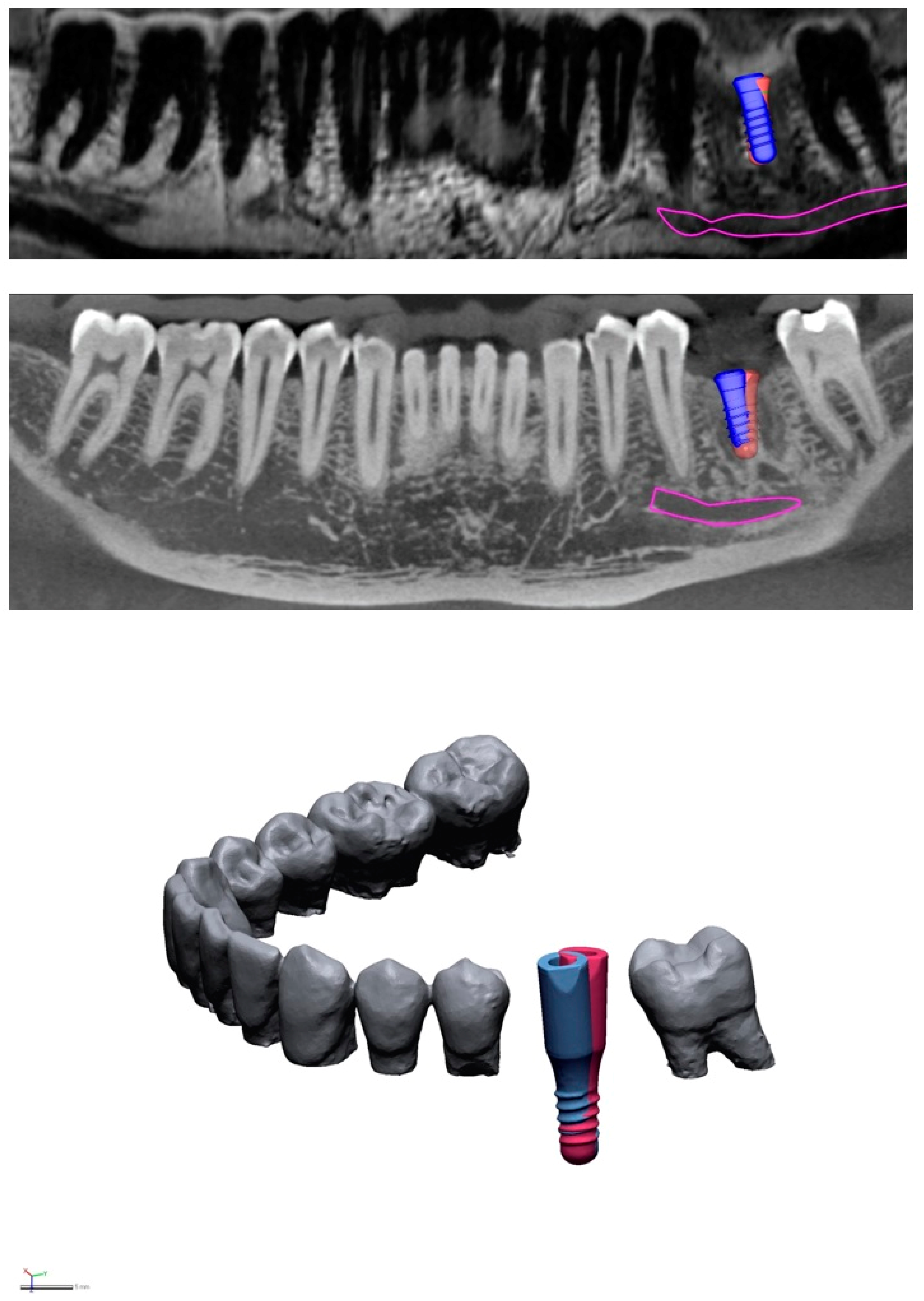
Can You Get Mri With Dental Implants. Is it Ok to have an MRI with Dental Implants? The type of implant material used may influence the MRI results. Manufacturers also take care to use non-ferromagnetic materials for other components.
Can You Have a MRI With Dental Implants? Tooth Truths from toothtruths.ca
Let's delve into the science behind MRIs, explore the materials used in dental implants, and address any potential risks. Q: Why do I need to inform the healthcare provider about my dental implant for an MRI? A: Dental implants are made of metal and can interfere with the MRI machine.
Can You Have a MRI With Dental Implants? Tooth Truths
The implants may cause some distortion in the images, but this can be minimized Whether you need a tooth replacement or are exploring missing teeth solutions, understanding how implants interact with medical imaging can help you make informed decisions about your oral health. Get MRI-safe dental implants with Smart Arches! At Smart Arches , we care deeply about your long-term wellbeing and take every aspect of your health into consideration
Can you have an MRI with Dental Implants? Prime Dentistry. Let's delve into the science behind MRIs, explore the materials used in dental implants, and address any potential risks. Undergoing an MRI (Magnetic Resonance Imaging) scan can raise concerns for patients with dental implants
Dental Implants And Mri Safety. If you're considering dental implants in Peachtree City, consult your dentist about MRI compatibility to avoid future worries As dental implant specialists, our services are safe, comprehensive, and effective.